• 7723阅读
  • 1回复

心脏支架“可降解时代”来了! 义乌市首台可降解支架手术在第一医院成功实施 [复制链接]

上一主题 下一主题
离线网站二二
 

发帖
1794
奖学金
5985
威望
28924
微信分享到朋友圈 图酷模式 只看楼主 倒序阅读 腔主  发表于: 2021-05-08
马上注册,结交更多好友,享用更多功能,让你轻松玩转义乌十八腔,更多精彩评论请登录后查看。
  已有账号?点击登录
关闭
“支架在3年左右就可以完全降解为二氧化碳和水,没有一点残留,打消了我的后顾之忧!”做完手术的楼大叔激动地说!

间歇性胸闷只是小问题?
现年65岁的楼大叔,1年前在做农活的时候,出现胸闷的症状,立刻停下来站立休息,约莫5分钟左右,胸闷就消失了,因此觉得自己只是年纪大了,多休息下就好,并未前往医院诊治。
1年间,楼大叔每次做农活,都会出现胸闷,可只要休息5分钟就没事了,因此对胸闷的原因并没有太过关注。
1周前,楼大叔再次出现胸闷,这次和以往不同,是在没有做农活的情况下出现的,且伴有头晕,缓解的时间也延长到了10分钟以上。
1周内,胸闷、头晕的症状开始反复出现,楼大叔的家属坐不住了,4月13日,陪着楼大叔来到了第一医院做检查。

入院后发现大问题!
“针对楼大叔的描述,我们立刻安排他做了冠脉CT,做完后,发现他心脏的前降支血管,已经达到了重度狭窄的程度(重度狭窄:血管堵塞程度已经超过80%,流入心脏的血液急剧降低)。”心内科主任李宇琛说道。
“以前只是觉得胸闷、头晕,以为是自己年纪大了、农活做得太多累的,哪想过会是自己心脏的零部件出了问题!”想起病因,楼大叔至今仍觉得不可思议。
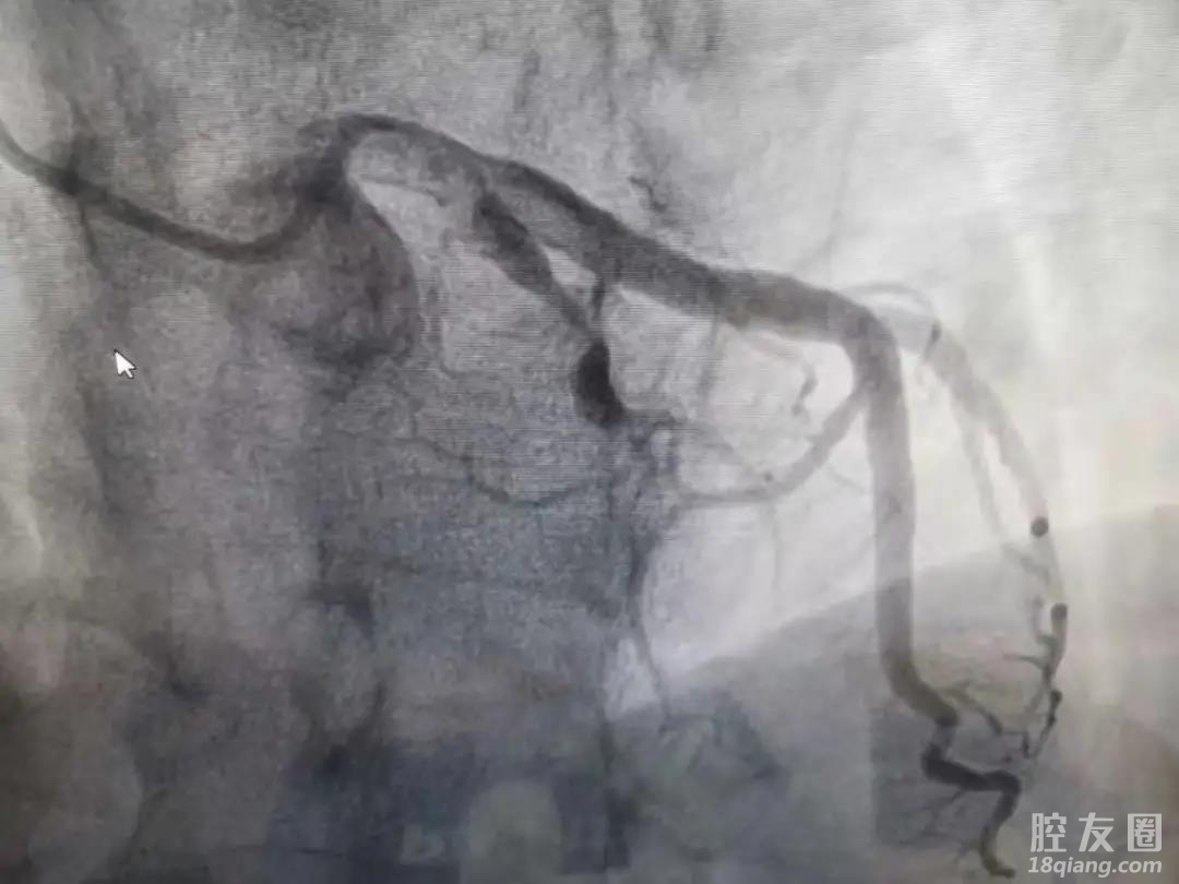
为进一步探明血管的拥堵程度,楼大叔又进行了心脏造影,发现前降支血管已经完全堵塞。
“楼大叔的血管堵塞是一种严重的情况,我们和家属商议,解决血管的堵塞问题后,决定采用支架治疗的方案!”李宇琛主任说。

精准治疗大显神威
4月18日15点,楼大叔被送入手术室,在体内成功植入了一个直径3.5mm18mm的可降解支架,这也是义乌首例可降解支架手术!
“现在我们都提倡精准治疗!”李宇琛主任说道,“在植入支架的过程中,我们采用了血管内超声。和传统的冠脉造影(冠脉造影:利用造影剂充盈管腔来显示血管情况)相比,血管内超声是可以直接进入到血管内部,通过超声查看血管里面的结构,可以更精准的判断病情、病变和植入支架的程度,用于指导治疗!”
在支架的选择上,医护团队和家属商议后,决定对楼大叔采用最新的可降解支架。
“起先,我并不了解可降解支架是什么” 楼大叔回忆说,“后来才明白,可降解支架的材料,全部是由可降解材料制作的,支架在3年左右就可以完全降解为二氧化碳和水,没有一点残留,打消了我的后顾之忧!”
目前,楼大叔已出院回家继续调养,医护人员也叮嘱其在家要按时服药,饮食要清淡、少油少盐,同时做适量运动,有助身体健康!

可降解支架与传统支架的区别?
可降解支架相对于传统的合金或金属支架,最大的优点是在患者使用2-3年后,可降解支架将全部被人体吸收,不会有任何残留,这样,血管的收缩和舒张功能并不受影响,这是金属支架所欠缺的!

本次心脏植入手术前后用时多久,难点在何处?
手术时间是很短的,前后也就1小时左右,手术难点在于材料不是金属的,对操作而言,需要通过血管内超声,更精确定位在血管的哪个部位做这个东西,需要多大的直径。这些都需要血管内超声进行定位、指导,影像学也要求我们,支架和血管的贴合性要做到最强,才能吸收的更好。

正常人如何发现血管是否堵塞?
40岁以上的,尤其是男性患者、身体比较胖、又有高血压、糖尿病的群体,可以做一个冠脉CT项目,有助于提早发现。
另外也要提示大家,要注意平时的症状,胸闷不舒服、有的表现为胸疼、胳膊疼、牙疼的,或者胃疼的、不能只想着是消化道或其他部位出了问题,一定要把心脏放在前面,它是人体最重要的器官,
一旦心脏发生了问题,比所有的器官风险都大。

李宇琛    心内科主任
天津市医师协会心血管内科分会常务委员;
中华医学会内科学分会青年委员;
中国医促会天津市心血管分会委员;从事心血管内科,擅长心脏冠脉介入,尤其在复杂冠脉病变如左主干病变、分叉病变、慢性闭塞等病变中有独特造诣、具有丰富心血管内科临床经验,在心脏急危重症和急性心肌梗死救治方面成效突出。


通讯员:于艳艳
2条评分威望+2
不悲、不喜 威望 +1 - 2021-05-08
bignew 威望 +1 - 2021-05-08
特别声明:帖子及回帖全部内容为论坛用户自行上传发布并承担相应的法律责任,不代表本网站观点和立场,本网站仅提供信息存储服务。任何用户如认为页面上的特定内容涉及侵权,可通过页面底部侵权投诉指引向我们进行投诉。
本帖共有1条回复,请登录后查看。
  已有账号?点击登录
快速回复
限100 字节
批量上传需要先选择文件,再选择上传