• 6481阅读
  • 0回复

高血压真的不要随便停药!后果很严重!后悔都来不及 [复制链接]

上一主题 下一主题
 
发帖
27
奖学金
45
威望
815
微信分享到朋友圈 图酷模式 只看楼主 倒序阅读 腔主  发表于: 2021-06-15
马上注册,结交更多好友,享用更多功能,让你轻松玩转义乌十八腔,更多精彩评论请登录后查看。
  已有账号?点击登录
关闭
高血压患者擅自停药,突发脑干出血!浙大四院手术机器人挑战“生命禁区”




机器人抬起手臂,划过流畅的轨迹,引导定位探针缓缓落于患者头皮,随着穿刺通道的建立,暗红色的血凝块被抽出患者脑外。这不是电影的虚幻情节,而是发生在浙大四院手术室的真实场景。

近日,停药近1年的高血压患者姜大爷突发脑干出血,这是脑出血中最为严重的一种。家人一度以为他再也醒不过来......浙大四院神经外科团队在无框架脑立体定向导航机器人辅助下开展脑出血微创手术,最终顺利脱险。术后均取得良好疗效,新技术的运用为脑出血患者的治疗提供新途径。

姜大爷60多岁,既往明确诊断过高血压病,曾经口服降压药治疗。1年前自作主张停药。病发当天,姜大爷突然四肢无力,倒地昏迷,对外界毫无反应。周围的工友马上呼叫“120”将其送到了浙江大学附属第四医院急诊抢救室。

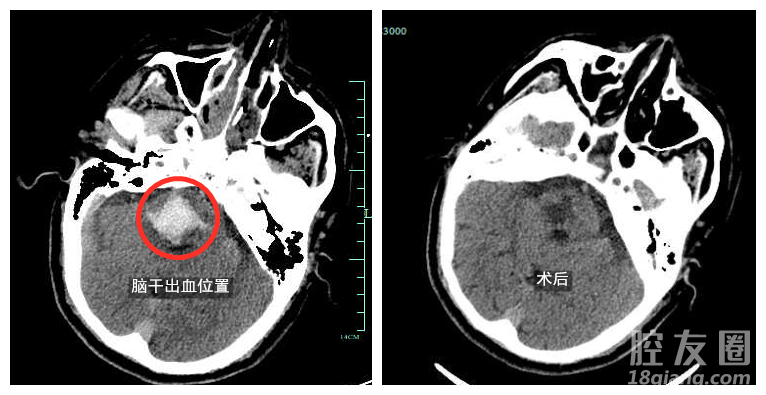
急诊医生评估发现姜大爷格拉斯哥评分只有5分(针对昏迷程度的判定,正常人为15分,最低3分),双侧瞳孔缩小,对光反射消失。同时出现呼吸困难,血氧饱和度下降,生命垂危。颅脑CT检查显示:患者脑干出血,出血量大约12ml。



浙大四院神经外科陈毅力主任表示脑干是生命中枢,也被认为是外科手术的生命,出血量大于10ml的死亡率在90%以上。姜大爷病情危重,随时可能心跳骤停死亡,如果继续保守治疗死亡率90%以上即使侥幸生存也将是植物人
生死营救,危在旦夕,浙大四院医护团队尽全力抢救,应用手术机器人辅助开展手术手术过程很顺利,在神经外科陈毅力主任的指导下,王铂和徐丹医生通过机器人的引导,将一根细细的引流管置入了血肿腔的中心,术中轻柔地吸出大部分血肿,术后复查CT发现,脑干内血肿已经彻底清除。


陈毅力主任介绍,这是义乌唯一一台神经外科手术机器人,它能够辅助定位,大幅提高手术的救治效率和定位精度,误差精确在1毫米之内,为患者赢得最后一丝生存的希望。目前,浙大四院已经应用这台“秘密武器”成功抢救了多名危重的脑干出血患者。

奇迹出现了,术后2天,虽然姜大爷虽然还是使用呼吸机,但是已经能够遵从医护人员的要求进行抬手、握手等动作,看到这个场面,所有人都坚定了继续抢救下去的决心;在闯过了中枢性高热、严重肺部感染、消化道出血等一关又一关以后,病情终于稳定,目前已经转入康复科进行后续的康复治疗。

姜大爷因长期血压控制不佳导致颅内血管病变,进而引发脑出血。得知这一原因的姜大爷为自己轻视了高血压的危害追悔莫及。浙大四院神经外科陈毅力主任提醒,脑干出血作为脑血管意外中的最为危重的一种,重在预防,患有高血压病的患者一定要严格按照医生的要求监测控制血压,千万不能随意停药减药,避免脑血管意外的发生。

另外,陈毅力主任表示,脑干既往被认为是“生命禁区”,脑干出血在国外也被称为“上帝的召唤”,以往大量脑干出血的病人即使进行开颅手术,也往往很难挽回生命。
随着医疗技术的发展,手术机器人等精确定位技术不断进步,使得脑干出血的“精准医疗”得以实现:通过1-2厘米的皮肤切口、颅骨上圆珠笔笔芯大小的一个骨孔,就可以实现脑干出血的手术,为患者保留生存的希望。
去年10月以来,浙大四院神经外科成功完成了多例无框架脑立体定向导航机器人辅助下脑出血微创手术,术后均取得良好疗效,新技术的运用为脑出血患者的治疗提供新途径。


5条评分威望+5
修改昵称 威望 +1 - 2021-06-15
wo662255 威望 +1 - 2021-06-15
北苑哩哩空 威望 +1 - 2021-06-15
不悲、不喜 威望 +1 - 2021-06-15
隔壁阿旺、 威望 +1 - 2021-06-15
特别声明:帖子及回帖全部内容为论坛用户自行上传发布并承担相应的法律责任,不代表本网站观点和立场,本网站仅提供信息存储服务。任何用户如认为页面上的特定内容涉及侵权,可通过页面底部侵权投诉指引向我们进行投诉。
本帖共有0条回复,请登录后查看。
  已有账号?点击登录
快速回复
限100 字节
如果您在写长篇帖子又不马上发表,建议存为草稿