• 6629阅读
  • 0回复

稳、精、准,一刀制敌!81岁高龄、40年肝胆结石 在杭州医学院附属义乌医院被解决! [复制链接]

上一主题 下一主题
 

发帖
2282
奖学金
3803
威望
86274
微信分享到朋友圈 图酷模式 只看楼主 倒序阅读 腔主  发表于: 2021-11-23
马上注册,结交更多好友,享用更多功能,让你轻松玩转义乌十八腔,更多精彩评论请登录后查看。
  已有账号?点击登录
关闭
现年81岁的楼大爷,长期被腹痛困扰,但只要经过挂盐水、口服药就能缓解,便未引发重视。最近几天,楼大爷突发右上腹痛及背痛,挂盐水和口服药都没起作用,急急忙忙到我院就诊,按其相关描述,门诊将其分诊到消化内科,进行了血常规、肝肾功能、CT及磁共振等检查,并请肝胆外科前往会诊。


“老人家虽然年龄比较大,但身体很硬朗,经过会诊,我们初步断定,他是肝内胆管结石并右肝萎缩,建议转至肝胆外科手术治疗。”参与会诊的肝胆外科主任姚俊如是说。


得到答案后,楼大爷及家属并未当即拍板进行治疗,而是又前往了义乌市的几家大型医院,几家医院均给出了相同的治疗方案,表态可予以手术治疗。


10月25日,楼大爷再次来到我院,找到肝胆外科主任姚俊。经过详细了解,楼大爷分别于40年前和10年前,因为肝胆管结石,做过两次开放手术。


“这两次都是比较大的开放性手术,通常来说,肝结石和胆管结石需要一次性解决掉,但因为种种原因,两次手术都只取了胆总管里面的结石,没有取到肝内胆管结石。”姚俊主任介绍道,“没取出的结石,也正是楼大爷腹部疼痛的根本原因!”


考虑到楼大爷的年纪比较大,以及做过两次开放性手术,萎缩的右肝与肝后下腔静脉紧密粘连,解剖结构不清晰,术中极易引起大出血,因此,手术风险非常高。


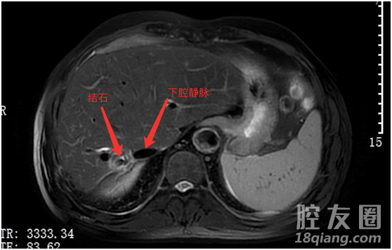
磁共振图像

“把事情的根源搞清楚之后,家属的工作做起来就容易多了!”


在16楼的医生办公室内,姚俊主任向楼大爷的家属详细告知了楼大爷的病情,建议进行手术治疗,并告知楼大爷进行手术的必要性、术中及术后可能会出现的风险和并发症、处置方案等,楼大爷的家人听完后表示,支持姚俊主任的建议:将其病变的肝脏及结石彻底处理掉。


10月28日,经过充分的术前准备,楼大爷被送入手术室,进行:肝内鞘外解剖右半肝切除术。术中确实如术前判断的一样:发现患者右肝严重萎缩,与肝后下腔静脉致密粘连。


风险已经显现:粘连的部位除了脏器大血管,还密布了大量细小的血管。如果不进行处理,手术将无法进行;如果处理不当,任何一根小血管,都会引起大出血,危及患者生命安全!


这种状态下,就要求主刀医生心态上冷静、解剖上细致、经验上丰富!


姚主任先将右肝从下腔静脉游离出来,后进行病变的右半肝切除。在没有阻断肝门的情况下,整个过程出血量不超过200cc,手术可以说是非常成功!


术后,经过ICU的平稳过渡后,楼大爷回到病房进行术后康复,在医护人员的精心护理下,楼大爷于近日顺利出院。


肝胆外科主任姚俊提示:上腹痛,一般情况下,会认为是胃病。如果排除后,就要考虑是否是肝胆系统疾病,并及时就诊专科医生。既往有肝胆病史,又右上腹疼痛的,首先要考虑是否是肝胆疾病复发或者加重。


肝胆管结石如果不及时取出,长期的慢性炎症刺激,就会导致胆管癌变,不仅会影响患者的生活质量,严重的会缩短患者的正常寿命!

如何有效查询肝胆健康呢?
健康体检可以通过超声检查,如果发现问题,就需要通过CT、核磁共振进行进一步检查。如果有既往病史的,首先要告知医生,进行针对性检查及定期复查。
特别声明:帖子及回帖全部内容为论坛用户自行上传发布并承担相应的法律责任,不代表本网站观点和立场,本网站仅提供信息存储服务。任何用户如认为页面上的特定内容涉及侵权,可通过页面底部侵权投诉指引向我们进行投诉。
本帖共有0条回复,请登录后查看。
  已有账号?点击登录
快速回复
限100 字节
批量上传需要先选择文件,再选择上传